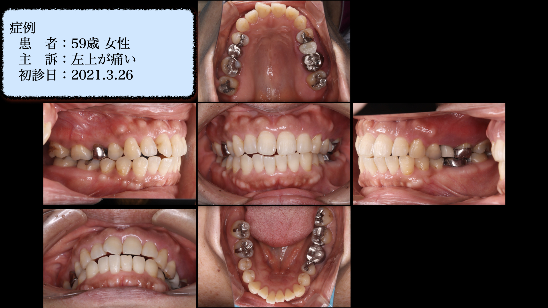
前歯が噛んでおらず、奥歯が壊れてしまったので、矯正・インプラントで治療した症例
-

Before
-

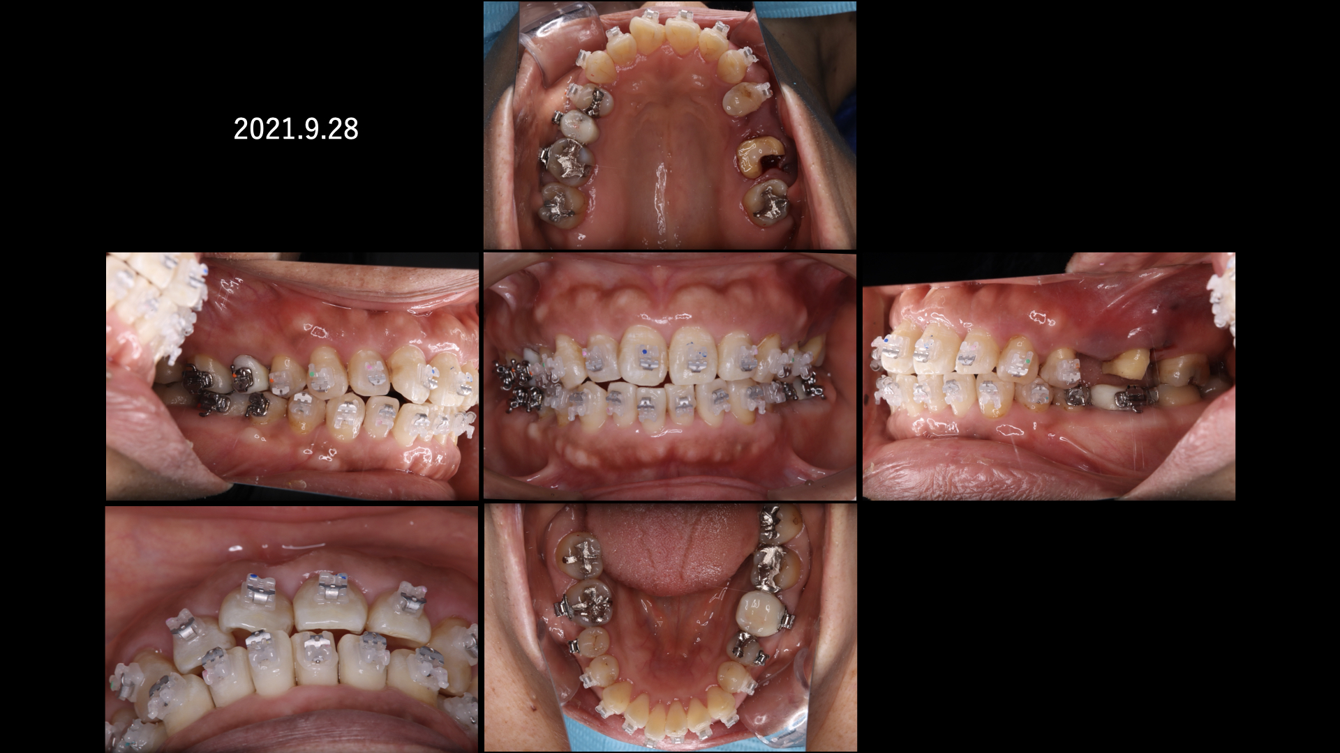
After
| 初診時年齢 | 59歳 |
|---|---|
| 性別 | 女性 |
| 主訴 | 左上が痛い |
| 治療内容 | 矯正治療、インプラント治療、マイクロスコープ |
| 治療回数・期間 | 3年 |
| リスク・副作用 | 将来的な歯周病の再発 |

左上の歯が痛い。ということが主訴で紹介で来られました。左下や真ん中の写真をみてください。
前歯がしっかり噛んでいません。


左上は支えている骨が大きく吸収しています。
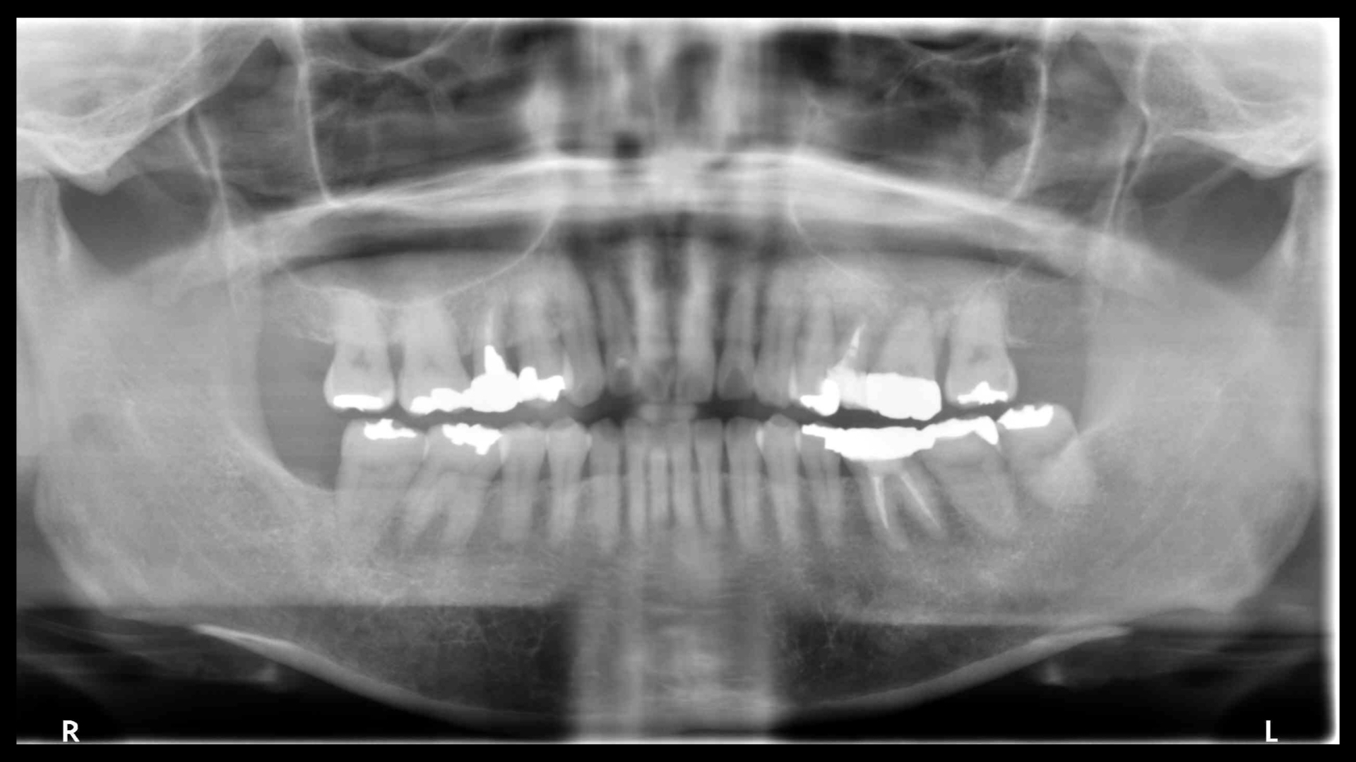
歯周病の検査です。やや全体的に歯周病が進んでいますが、特に左上の部分は顕著にすすんでいます。

CT(右の画像)上では、根尖(根の先)まで骨が吸収しており、保存することが難しい状態です。
このように明らかに片方(今回は左側)のみ悪くなっているのは、歯周病の細菌だけではなく噛み合わせが悪いことによるものです。
本来、前歯は奥歯を守り、奥歯は前歯を守らないといけませんが、
前歯が噛んでいないので奥歯を守ることができていません。
それを改善せずにインプラントなどの歯を入れても、また壊れてしまう可能性が高いです。
改善するためには前歯を噛ませないといけません。基本的に矯正を行う必要があります。
矯正の診断をおこないました。

はじめ、患者さんは矯正を希望しませんでした。

そこで矯正をせずに前歯を噛ませるにはどうしたらよいか。模型上でシミュレーションをしました。

すると、茶色のwaxの部分は足しているところで、鉛筆の斜線は削っているところです。
下の前歯はほとんど足す必要があり、多くの歯を治療しなければいけません。
どうしても全体的な矯正治療(平均2〜3年)を望まれなかったので、模型上で咬合調整をおこない、やや前歯が噛み合うところまで調整すると矯正治療期間が短くなります。

模型上で、そこから歯を並べて(排列)みて奥歯をさわらずに短い期間で矯正治療ができるのかをシミュレーションした結果

可能ということがわかったので、この計画にしました。
まずは奥から2番目の歯も保存を希望されましたが、治りが悪かったので一度抜歯して歯石を取り、戻してみて保存を試みました。

その間矯正治療をおこないました。


残念ながら、奥歯は腫れが引かず抜歯になってしまいました。
矯正が終わり、左上のインプラント治療に入ります。
初めから抜歯をしておけば、治療期間が短くすみましたが、保存できた可能性もあったので、お互い納得して治療をすすめていきました。

もともと歯周病で骨が吸収していましたので、この部分にインプラントをおこなうには骨を造らなければなりません。
骨造成。またこの部分は上顎洞にも隣接しているので、上顎洞挙上術も必要です。

骨造成と上顎洞挙上術を同時に行いました。

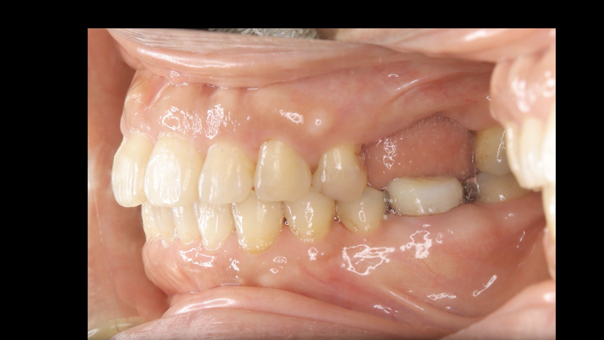
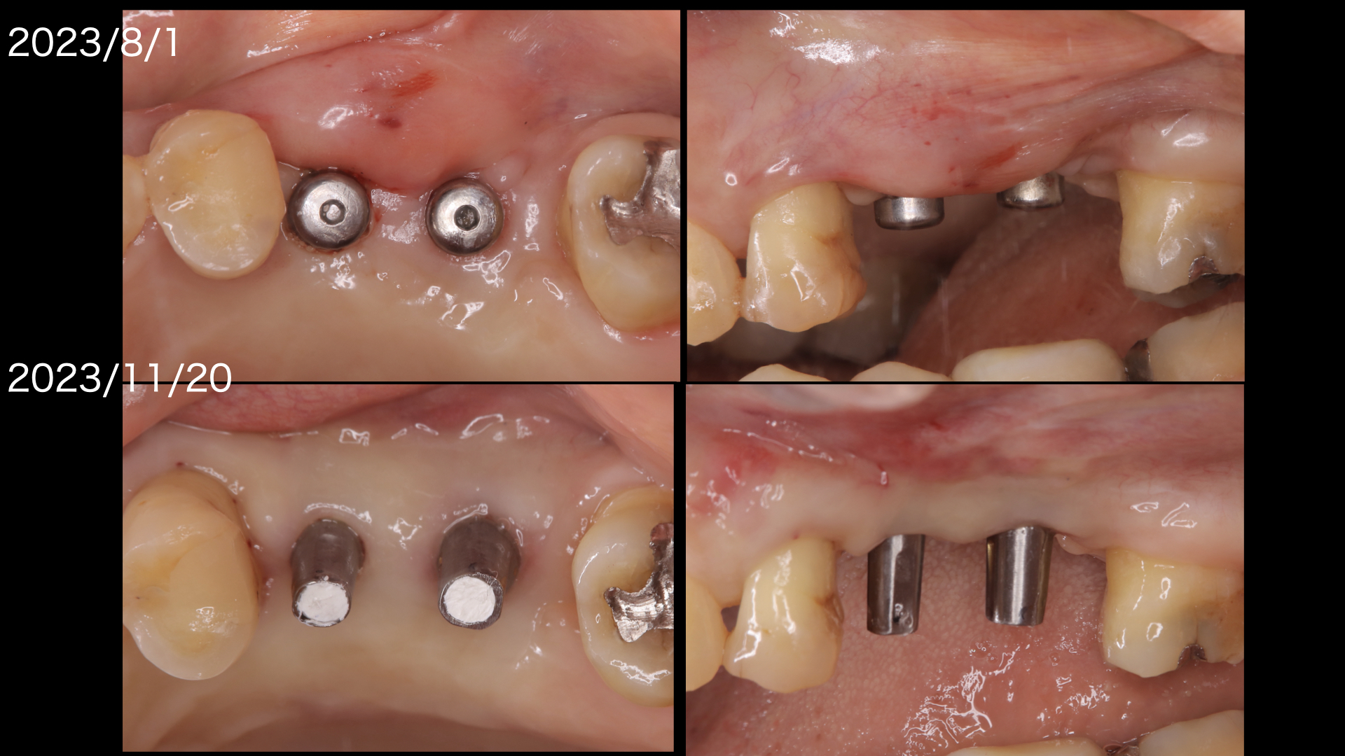
骨造成したので、歯肉をかなり減張切開する必要がありました。

上の図:減張切開したため、頬側に角化歯肉が喪失しておりこのままでは歯ブラシがしにくい状態です。
下の図:口蓋側から歯肉を移植しました。(遊離歯肉移植:FGG).頬側の歯肉の形態がよくなりました。

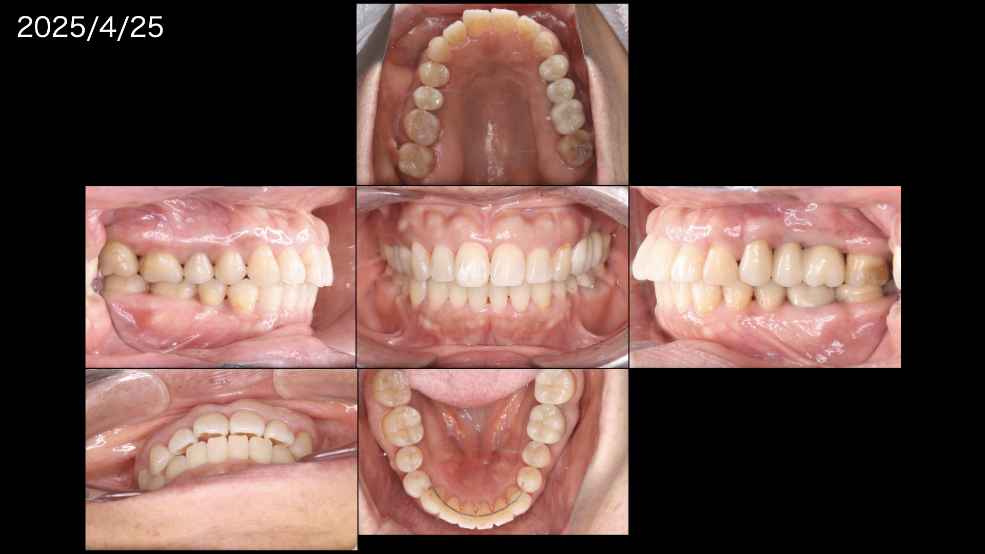
治療後の状態です。
前歯もしっかりと噛んでおりこれなら安心してインプラントを管理できます。

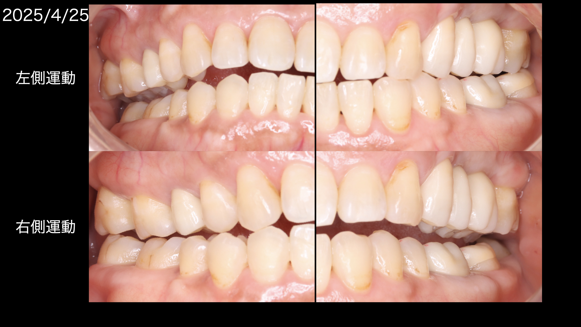
このように左側運動では左の犬歯(糸切り歯)だけが当たって、右側はあたらないように(離開:ディスクルージョン)
右側運動でも同じようになっており
治療前と違い、前歯が奥歯を守っている状態です。

やや歯周病が残っている歯はありますが、しっかりと今後もメインテナンスで経過をみていきます。



